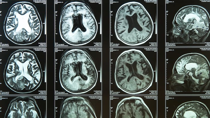
UCB Assessing Bepranemab’s Future After Roche/Genentech Ends Partnership
Tau-Targeting Collaboration Dated Back To 2020
UCB is evaluating next steps for bepranemab, for which it will soon present Phase IIa data at CTAD, after Genentech terminated a four-year partnership to develop the tau-targeting antibody.
